
作者 | 李红闪、刘跃辉、胡彦君、吴岩峰、李晓青、霍晓川、马宁
后循环颅内段狭窄合并颅外狭窄形成串联病变的血管内介入治疗病例既往有所汇报(见第14期)。本周汇报的病例较前述的病例更为复杂,具体血管内介入治疗过程也更为曲折,我们将诊治细节总结汇报如下。
精彩回顾(第14期)
病例详情
病情信息
患者,男性,54岁。主因“头晕、言语不清3个月”入院。3月前无明显诱因突发头晕,言语不清,伴视物模糊,右侧肢体乏力,右侧口角流涎,饮水呛咳、吞咽困难。
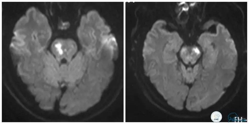
外院头颅MR:脑桥梗死(图1)。

图1
CTA:右椎动脉开口未见显影,右椎V4段钙化,右椎V4-基底动脉交界区狭窄,左椎动脉见V2段显影(图2)。

图2
外院DSA(图3):右椎动脉起始处显示不清,右椎动脉V4段重度狭窄,左椎动脉V2-3段经侧支代偿显影。

图3
给予阿司匹林抗血小板聚集、立普妥降脂等治疗后症状部分缓解,仍有数次头晕、视物模糊发作,活动后诱发,每次持续十余分钟能够自行缓解。现为进一步行血管内治疗来我院。
既往有高血压病、脂蛋白代谢紊乱病史。长期吸烟史。
入院时查体:右鼻唇沟略浅,右肢体肌力5-级,右侧指鼻试验及跟膝胫试验欠稳准,闭目难立征阳性。
入院后给予双联抗血小板(拜阿司匹林100mg 1/日+波立维 75mg 1/日)、降脂(立普妥 20mg 1/日)及降压治疗。
入院后查血栓弹力图:AA96.7%,ADP14.4%。
LDL:1.6mmol/L。
高分辨核磁(图4):右椎动脉颅内段右侧壁增厚,斑块形成,双侧椎动脉管腔狭窄,斑块形成。增强扫描示:双侧椎动脉及基底动脉可见不规则强化,右椎动脉及基底动脉为著。斟酌右椎动脉颅内段右侧壁斑块形成,双侧椎动脉管腔狭窄、斑块形成,基底动脉管腔狭窄、管壁不规则增厚。

图4
CTA(图5):双侧椎动脉及基底动脉管腔可见多发斑块形成,管腔明显狭窄。双侧颈内动脉虹吸段可见多发斑块形成,管腔狭窄。

图5
CTP(图6):双侧小脑半球及脑干CBF正常或稍减低,CBV略升高,MTT及TTP稍延长。

图6
术前DSA:右椎动脉V1段长段重度狭窄,V4-基底动脉交界区显影浅淡,狭窄程度重,但具体程度显示欠佳(图7)。左椎动脉V1段闭塞,左椎动脉V2远段经侧支代偿显影,V3段以远未见显影(图8)。前循环造影未见明显前循环向后循环代偿(图9)。

图7

图8

图9
术前讨论
1. 患者右椎动脉优势,右椎动脉V1段长段重度狭窄、V4段-基底动脉重度狭窄(或者闭塞)。左椎动脉V1段闭塞,经侧支代偿的左椎动脉V3段以远未见显影亦斟酌闭塞,拟处理右椎动脉。
2. 右椎动脉V1段狭窄程度重,病变长度长,但病变血管较为平直,估计先处理近端病变后导引导管越过支架难度不大,故决定先处理近端病变再处理远端病变。
3. 右椎动脉V4段-基底动脉长段狭窄,CT提示局部钙化明显,预计发生术中扩张困难的机率高,拟采用球囊预扩张,再放置自膨支架。
治疗过程简述
全麻下右侧股动脉穿刺置入8F动脉鞘,6F导引导管到位,送入Traxcess(0.014″200cm)微导丝+Echelon-10微导管小心通过右侧椎动脉V1段狭窄处至V2段远端,交换撤出Traxcess微导丝,送入Transend(0.014″300cm)微导丝至V2段远端(图10)。

图10
Ultra-Soft球囊(3.0mm×20mm)于狭窄处预扩张后置入EXCEL支架(4.0 mm× 24mm),球扩后造影见支架贴壁良好,远端血管显影好,前向血流TICI3级。6F导引导管沿微导丝通过右椎动脉V1段支架至V2段(图11)。

图11
此时多体外投照显示右椎V4-基底动脉极重度狭窄,几近闭塞(图12)。

图12
Transend(0.014″300cm)微导丝+Echelon-10微导管,小心通过右椎动脉V4段病变后置于右大脑后动脉P1段(图13)。

图13
Gateway球囊(1.5mm×15mm)于狭窄段扩张后放置Wingspan支架(2.5 mm×15mm),撤出微导丝后造影,局部狭窄率50%,支架内中远段见细小充盈缺损,斟酌急性血栓形成,予以欣维宁5ml动脉内缓慢注射未见好转(图14)。

图14
遂再次将Transend微导丝送至右大脑后动脉P1段,使用Gateway球囊(2.0mm×15mm)于支架最狭窄处后扩张(图15)。

图15
其后造影显示支架贴壁良好,远端血管显影好,前向血流TICI3级(图16)。

图16
缓慢回撤6F导引导管至锁骨下动脉,造影显示右椎V1段支架无移位,前向血流正常(图17)。

图17
总结
1. 对于后循环合并颅内外串联病变处理序贯,目前尚无统一标准,各有利弊,如斟酌近端狭窄程度较重且无明显迂曲的话,可以斟酌先处理近端病变(详见第14期)。
2. 本例在近端支架释放完毕后,采用球囊辅助技术顺利的将导引导管越过支架。
3. 本例右椎动脉V4段至基底动脉释放支架后,有急性原位血栓形成,这与预扩张后残余狭窄率较高有关。选用稍大直径球囊后扩张,不仅改善了狭窄率,还将新形成的小血栓机械粉碎。但在椎基底交界区后扩张要斟酌有潜在血管破裂风险。