
肝炎后失代偿期肝硬化的治疗与手术技巧
肝炎后肝硬化是指肝炎病毒造成的慢性、弥漫性肝炎或广泛肝实质损害继续发展的结局。其主要病变有肝细胞变性、坏死、小结节性再生和纤维组织增生。肝硬化发展到一定程度,超出肝功能的代偿能力,叫做肝硬化失代偿期。临床表现有肝功能减退和门静脉高压导致的脾肿大、腹水、食管和胃底静脉曲张破裂出血和肝性脑病等。
肝炎后肝硬化的一般治疗
在我国引起肝炎后肝硬化的常见的病因是乙型肝炎病毒(Hepatitis B virus, HBV)和丙型肝炎病毒(Hepatitis C virus, HCV)。2006年全国乙型肝炎流行病学调查表明,我国1~59岁一般人群HBsAg携带率为7.18%,我国现有的HBV感染者约9 300万人,其中慢性乙型肝炎患者约2 000万例。
目前临床上应用的抗HBV治疗药品主要有两类:干扰素和核苷类似物,前者兼具诱导抗病毒蛋白产生和免疫调节的作用,但治疗成本较高,不良反应较大。后者则通过抑制病毒多聚酶/反转录酶功能,能有效降低血清病毒载量,但长期用药可导致耐药突变株的出现。大多数患者即使经过长期抗病毒治疗仍不能彻底清除病毒,停药后复发率较高。抗乙肝药品的临床应用明显降低了HBV感染后肝硬化的发病率,但是由于我国感染HBV的基数大,每年仍有数十万乙肝患者发展为肝硬化。
丙型病毒性肝炎,简称为丙肝,是一种由HCV感染引起的病毒性肝炎。2006年全国丙型肝炎流行病学调查表明,我国1~59岁一般人群HCV感染率为0.43%,约560万人感染丙肝。目前对HCV应用药品治疗可以基本清除该病毒。但是无论是乙肝或者是丙肝,即使病毒被清除或者病毒的复制被抑制,肝细胞的破坏不再继续发展,但是这些治疗仍然不能逆转失代偿期肝硬化。
肝硬化门脉高压的常规手术治疗
肝硬化引起门静脉压力增加,导致脾脏肿大,脾功能亢进,门静脉属支压力增高,胃冠状静脉,食管和胃底静脉曲张,容易发生破裂出血。消化道出血和肝性脑病是引起肝硬化死亡的主要原因。针对肝硬化门静脉高压,手术方式可以分为分流和断流两类。如果要彻底解决肝硬化问题需要肝脏移植手术。
分流手术
分流手术是将门静脉血液分流到腔静脉系统。目的是降低门静脉压力,减少食管下段静脉曲张破裂出血的可能性。
常用的手术方式有脾静脉肾静脉分流,门静脉下腔静脉分流,肠系膜上静脉下腔静脉分流,以及通过介入手术的经颈静脉途径肝内门体分流术(Transjugular intrahepatic portosystemic stent shunt, TIPSS)。其原理是经颈内静脉途径,在肝静脉/下腔静脉与门静脉之间建立一条有效的分流通道,使一部分门脉血直接进入体循环,达到降低门静脉压力、控制和防止食管胃底静脉曲张破裂出血和促进腹水吸收的目的。
这些手术的目的都是通过分流门静脉血液进入下腔静脉系统,降低门静脉压力,减少上消化道曲张的血管破裂出血。但是门静脉血分流到腔静脉,一些有毒物质没有经过肝脏代谢直接进入体循环系统而引起肝性脑病是最常见的并发症。此外,分流道狭窄与闭塞也是影响门静脉压力降低的因素。
断流手术
断流手术是做贲门周围血管离断,阻断门静脉血通过胃冠状静脉,贲门周围静脉,奇静脉到上腔静脉的分流[6]。由于15%左右的血流可以通过胃黏膜下静脉进入食管下段静脉,也有的手术进行胃底切断再吻合,彻底阻断门静脉经过食管下段静脉进入奇静脉的血流,以期防止食管下段静脉曲张破裂引起的消化道出血。但是这种手术方法仅仅阻断了肝硬化患者病理状况下建立起来的门静脉经过奇静脉到上腔静脉的分流,断流以后使门静脉压力增加,不久会在食管周围形成新的侧支重建,仍然还会发生食管下段静脉曲张破裂出血。并且断流手术往往因为也切断了迷走神经,引起手术后的胃肠功能障碍。
肝脏移植手术
20世纪80年代以前,即使采用多种一般药品治疗和手术治疗方法,肝硬化一旦发展到失代偿期,5年存活机会仅有约20%。20世纪80年代以后,随着肝移植技术的成熟及更有效的抑制排异药品的临床应用,肝移植后患者5年生存率可以达到75%~80%。所以肝移植成为治疗失代偿期肝硬化的最有效的方法。但是由于肝源紧张和昂贵的医疗费用,限制了肝移植的普及开展。
创新治疗与手术技巧
间充质干细胞具有长期存活、不断地自我繁殖的特性。骨髓间充质干细胞具有特殊的生物学多样性,特别是多相分化潜能,间充质干细胞植入肝脏后,遂向病变部位迁移,成为病变部位的前体细胞,并分化为终末成熟细胞。已开展的临床研究显示自体间充质干细胞对肝硬化患者肝功能及临床症状具有改善作用。
如果对艾滋病合并失代偿期肝硬化患者做自体骨髓间充质干细胞移植,采集患者骨髓后做间充质干细胞分离有可能污染实验室设施。笔者根据已有的医学知识,斟酌骨髓中包含有间充质干细胞、造血干细胞、血管始祖细胞和细胞间质。如果将骨髓整体移植到门静脉,应该是将间充质干细胞和其周围的微环境一起移植到肝脏,可能更有利于干细胞在肝内的存活和增殖。
笔者在2009年开始对14例艾滋病合并失代偿期肝硬化患者进行脾脏切除手术加自体骨髓经门静脉输注治疗,结果2例患者手术后2 d死于腹腔出血和肝功能衰竭,12例患者在手术后3个月由原来的肝功能Child-Pugh分级从C级或者B级全部恢复到*级A**。1例患者手术后第3年死于吸毒引起的癫痫发作,其余11例至今肝功能维持在*级A**,全身情况明显好转。
艾滋病合并失代偿期肝硬化需要应用抗逆转录病毒治疗,如果是艾滋病合并HBV感染,抗逆转录病毒治疗已经包含了对HBV的治疗,如果是艾滋病合并HCV感染,还需要加用索非布韦等药品治疗清除HCV。我们观察3例HCV感染者用索非布韦治疗1个月后检测不到丙肝病毒。持续用索非布韦6个月后停药。1年后复查肝脏体积增大,弹性超生检查提示肝脏硬度减低。仍然检测不到HCV。经过抗逆转录病毒治疗,所有患者周围血中检测不到艾滋病病毒,5例合并HBV感染患者仍然可以检测到HBV,但是病毒载量低于每微升1 000 copy。7例艾滋病合并失代偿期肝硬化患者因为担心手术风险,采用抗逆转录病毒治疗和保肝利尿等治疗,结果3年内全部死于肝脏衰竭。
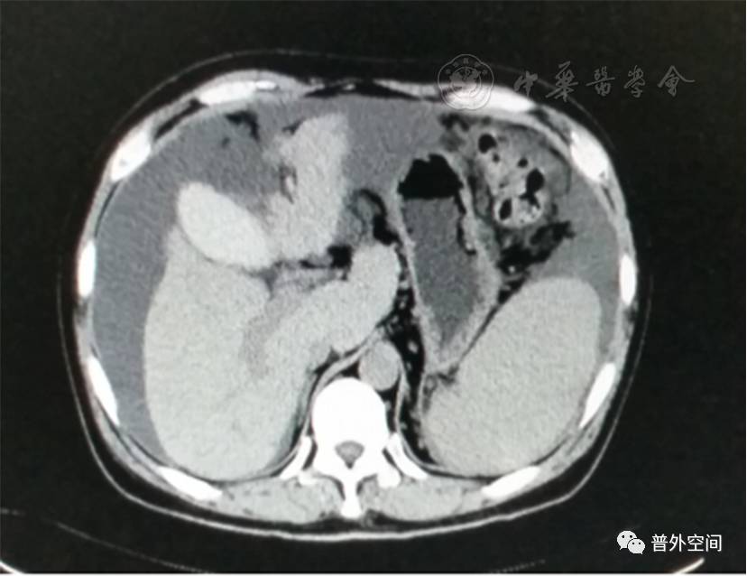
我们将这种方法应用到100多例没有艾滋病病毒感染的一般肝硬化患者身上,结果收到更好的疗效。例如1例男性患者,56岁,失代偿期肝硬化大量腹水合并脐疝(见封四,图1)。CT检查提示肝脏明显萎缩,肝脏体积1 302 ml,大量腹水,脾脏肿大(见封四,图2)。在多家医院就诊后都认为需要做肝移植。我们对患者进行脾切除加脐疝修补,自体骨髓经门静脉输注治疗。手术后3个月,肝功能Child-Pugh分级从C级转成*级A**,手术后1年,肝功能正常,腹部伤口愈合良好(见封四,图3)。CT检查提示肝脏明显增大,体积1 796 ml,腹水基本消失(见封四,图4)。对于肝功能C级的患者手术风险比较高,围手术期输注白蛋白、凝血酶原复合物、纤维蛋白原,改善肝脏功能,手术中经胃网膜右静脉插管埋置骨髓输注装置,输注自体骨髓。随着自体骨髓干细胞在肝内发生复杂的变化,肝硬化组织中的胶原纤维被降解和吸收,肝脏组织的增生和体积增大,肝功能好转,门静脉压力会逐渐降低。但是在手术后1年内,仍然有可能随时发生上消化道出血,需要经胃镜检查,套扎食管黏膜下明显曲张的静脉血管。这样我们做脾脏切除解除脾功能亢进,不做贲门周围血管离断,减少了手术损伤。食管黏膜下静脉曲张用胃镜下套扎治疗。待肝硬化逐渐逆转,食管黏膜下静脉曲张程度将会逐渐减轻。

图1 失代偿肝硬化大量腹水合并脐疝患者手术前照片

图2 手术前腹部CT断层照片

图3 脾切除加自体骨髓输注1年后患者照片

图4 1年后对比手术前同一部位CT断层照片
肝硬化门静脉高压症是临床上常见的可以致命的严重疾病,该疾病的发生机制、演变有复杂的病理变化和高深的理论内容,治疗过程中有很多已知或未知的因素难以掌握,围手术治疗又颇为复杂。精细的围手术期治疗加自体骨髓经门静脉输注,有可能使失代偿期肝硬化患者逆转回健康状态。
The End
FIS2017(10周年)强势来袭!
