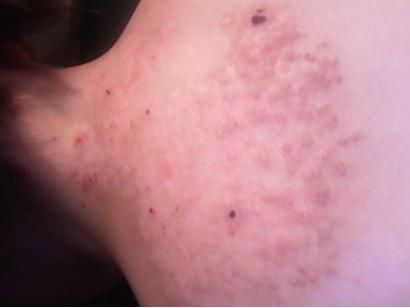
神经性是一种常见的皮肤病之一,是一种难缠的皮肤炎症。如何治疗神经性皮炎时困扰广大患者的一大难题,因为只有选对药才可以治好病。那么,市场上那么多是治疗神经性皮炎的外用药膏,患者如果不幸的患上神经性皮炎应该擦什么药?在此建议大家采用中药疗法,今天就为大家介绍几种中医治疗神经性皮炎具有奇效的外擦药品。

1、擦中医成品药剂。患者一旦发现患上神经性皮炎,应立即进行治疗。神经性皮炎可外用不含有激素的帕芙欧珍肤膏涂抹患处,坚持3-7天即可治愈。

擦茄子。茄子是为数不多的可以治疗神经性皮炎的试采,即可内服也可外擦,如果患者想要外用的话可以取生茄子一块,然后将其削成小片,每天摩擦患处,一天两次,一周内见效。

擦丝瓜叶,丝瓜叶具有清热解毒,去火止痒的功效。可以取鲜丝瓜叶捣成汁,每天擦洗患处,七天一个疗程。

取生鸡蛋3个,米醋1斤,然后将生鸡蛋置与瓶内,加米醋浸没,持续浸泡7-10天后取出,剥下蛋壳,将鸡蛋与米醋搅匀,装入有盖容器中,每天用此液涂擦患处2-3次,坚持一段时间,可有效治愈神经性皮炎。

最后提醒患者一旦患上神经性皮炎,最好的方法就是及时的取正规医疗机构做一个全面系统的检查,找出病因,在专业医师的指导下对症下药,科学治疗。在之劳累过程中,患者应该尽量保持一个放松的心情,避免情绪紧张焦虑以保证疾病的治疗可以顺利进行。